Пневмокониоз что это такое
Содержание
- 1 Пневмокониоз что это такое
- 1.1 Группа заболеваний пневмокониоз – особенности
- 1.2 Пневмокониоз – что это
- 1.3 Формы пневмокониоза
- 1.4 Этиология
- 1.5 Классификация пневмокониоза
- 1.6 Пневмокониоз – симптомы
- 1.7 Осложнения
- 1.8 Диагностика
- 1.9 Лечение пневмокониоза
- 1.10 Прогноз и профилактика
- 1.11 Пневмокониоз: причины, признаки, лечение и прогноз
- 1.12 Почему развивается пневмокониоз: основные причины
- 1.13 Механизм развития заболевания: с чего начинается пневмокониоз?
- 1.14 Как проявляется заболевание: первые симптомы
- 1.15 Пневмокониоз
- 1.16 МКБ-10
- 1.17 Общие сведения
- 1.18 Причины и классификация пневмокониозов
- 1.19 Патогенез пневмокониозов
- 1.20 Симптомы пневмокониозов
- 1.21 Диагностика пневмокониозов
- 1.22 Лечение пневмокониозов
- 1.23 Прогноз и профилактика пневмокониозов
- 1.24 Пневмокониоз
- 1.25 Виды пневмокониоза
- 1.26 Симптомы и диагностика пневмокониоза
- 1.27 Лечение пневмокониоза
- 1.28 Профилактика пневмокониоза
Группа заболеваний пневмокониоз – особенности

Пневмокониоз – это группа заболеваний, касающихся легких. Название происходит от древнегреческих pneumon – что означает “лёгкие” и konia – что в переводе “пыль”. То есть патология легких развивается при воздействии на них пыли.
Сразу же напрашивается вывод о том, что пневмокониоз – это профессиональная болезнь. Кто знает – в угольных регионах шахтерам выплачивают так называемые силикозные выплаты. Этих людей, надышавшихся пылью силикатов так и называют – силикозники.
Кроме силикоза в группу, получившую название пневмокониоз входят и другие патологии. Конкретно по типу пыли, которой приходится дышать в ходе производственного процесса.
Развитие цивилизации неизбежно приводит к появлению новых, неизвестных ранее заболеваний. Так, развитие промышленных отраслей пагубно сказывается на состоянии органовы дыхательной системы.
Прежде всего, страдают работники предприятий, на которых уровень вредных факторов, воздействующих на организм человека, превышает предельно-допустимые концентрации.
Наиболее выражено это воздействие у пыли некоторых видов. Последняя способна вызвать профессиональное заболевание – пневмокониоз.
Пневмокониоз – что это
Пневмокониоз – это заболевание легких, возникающее вследствие многолетнего воздействия на ткань легкого больших концентраций пылевых частиц.
Как правило, эта патология является профессиональной. В бытовых условиях концентрация вредных веществ во вдыхаемом воздухе слишком мала, чтобы вызвать заболевание.
Однако люди определенных профессий, которые в течение нескольких лет ежедневно дышат определенном видом пылевых частиц в высоких концентрациях, часто страдают пневмокониозом. Например, часто он встречается у шахтеров, строителей, дорожных рабочих.
В развитии заболевания важную роль играет иммунная система человека. Пыль, попадая в альвеолярную ткань легких, захватывается макрофагами. Последние являются клетками иммунной системы, которые поглощают любые чужеродные агенты.
Но частицы вредной пыли способны вызывать в макрофагах процесс разрушения. Когда клетки иммунитета погибают, они выделяют ряд активных веществ, которые привлекают в патологический очаг другие клетки.
Таким образом при пневмокониозе возникает множество очагов соединительной ткани, которые замещают нормальную легочную ткань. При этом в процесс могут вовлекаться бронхи и сосуды.
Формы пневмокониоза
Выделяют следующие формы пневмокониоза:
- Интерстициальная. Коллагеновые волокна разрастаются между альвеолами в интерстиции легкого. Они содержатся там и в норме, но при заболевании их значительно большее количество.
- Узелковая. В легких возникает множество мелких очагов. Вначале они имеют малую интенсивность на рентгенограмме и представлены только макрофагами. Затем в них разрастается соединительная ткань и интенсивность увеличивается. Старые узелки состоят только из коллагеновых волокон и фибробластов.
- Узловая. Возникает в том случае, если узелки сливаются между собой. Тогда область поражения становится обширной, может достигать нескольких сантиметров. Узлы всегда содержат соединительную ткань.
Изменения в легких при пневмокониозе можно увидеть, как макро-, так и микроскопически. Они во многом определяются видом пыли, которая вызвала заболевание.
Этиология
Пневмокониоз появляется в том случае, если человек длительное время взаимодействует с мелкими частицами пыли в концентрациях, превышающих допустимые значения. Чаще всего это происходит на производстве.
В группы риска попадают шахтеры, рабочие заводов, строители, пекари, некоторые работники сельского хозяйства.
Классификация пневмокониоза
Заболевание классифицируют в зависимости от того, какая пыль его вызвала. Чаще всего их подразделяют на следующие группы: 
- Силикоз – причинным фактором является чистый диоксид кремния, он же кварцевая пыль;
- Силикатоз – в этом случае диоксид кремния смешан с другими веществами, его делят на разные подвиды, например, асбестоз, цементный пневмокониоз;
- Антракоз – возникает при вдыхании угольной пыли;
- Металлокониоз – возникает при воздействии металлической пыли, также делится на подвиды, например, сидероз – вдыхание железа;
- Органические пневмокониозы – это большая группа пылевых заболеваний легких, вызванных органическими веществами, например, к ним относят сахароз и биссиноз;
- Смешанные пневмокониозы – возникают у рабочих производств, где действует сразу несколько видов пыли, превышающих предельно-допустимую концентрацию.
Пневмокониоз – симптомы
В тяжелых случаях и при осложненном течении появляются следующие симптомы:
- Одышка. Как правило, возникает на выдохе. Симптом связан с постепенным развитием бронхиальной обструкции.
- Кашель. Чаще появляется утром, характер кашля сухой или малопродуктивный. Мокрота, если она есть, вязкая, бесцветная, без запаха, носит слизистый характер.
- Боль в грудной клетке. Этот симптом возникает в том случае, если в патологический процесс вовлекается плевра. Боль связана с дыхательными движениями.
Осложнения
Пневмокониоз чаще всего осложняется хронической бронхообструктивной болезнью. Бронхиальная обструкция возникает вследствие разрастания соединительной ткани вокруг бронхов. При этом в самих бронхах эластические волокна замещаются коллагеновыми, что влияет на их растяжимость.
Проявлениями обструктивной болезни является нарушение дыхания, хрипы, одышка, кашель по утрам с вязкой мокротой.
Также возможно развитие эмфиземы легких , при которой легочная ткань теряет свою эластичность. Осложнениями обструктивной болезни и эмфиземы является дыхательная недостаточность . Последняя проявляется в виде одышки при физической нагрузке, синюшности носогубного треугольника и кончиков пальцев.
Частым осложнением является присоединение туберкулезной инфекции .
Еще одна опасность кониотуберкулеза заключается в его влиянии на сердечно-сосудистую систему. Эта патология способствует повышению давления в малом круге кровообращения, что ведет к постепенному развитию сердечной недостаточности.
Диагностика
Для того, чтобы установить диагноз пневмокониоз, необходимо провести ряд исследований:
- Физикальные методы. В первую очередь на приеме у врача пациент подвергается перкуссии и аускультации. Первый метод при пневмокониозе зачастую является неинформативным. Аускультация в тяжелых случаях позволяет выявить сухие или рассеянные влажные хрипы. Они свидетельствуют не о самом пневмокониозе, а о развитии его осложнения – обструктивного бронхита. Часто пациент не имеет жалоб и физикальные методы исследования не дают результатов.
- Флюорографическое исследование. Является скрининговым методом. Флюорография проводится один раз в полгода, год или два года в зависимости от профессиональной деятельности. Лица, работающие в условиях запыленности, должны проходить это исследование не реже одного раза в год, независимо от наличия или отсутствия жалоб. При выявлении у них изменений в легких, необходимо приступать к следующему методу обследования.
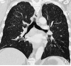
- Рентгенография органов грудной клетки. При любой патологии легочной ткани это наиболее достоверный метод диагностики. На рентгенограмме при пневмокониозе обнаруживается множество очагов диссеминации разных размеров и интенсивности, а также участки фиброзного замещения легких.
- Магнитно-резонансная и компьютерная томография. Являются дополнительными методами исследования. Позволяют визуализировать те патологические участки, которых еще не видно на рентгенограмме. Также иногда их используют для дифференциальной диагностики.
- Функциональная диагностика. Не позволяет установить пневмокониоз, но диагностирует наличие его осложнений. В частности – обструкцию бронхиального дерева. Чаще всего применяют спирометрию или бодиплетизмографию. Типичными являются нарушения по обструктивному типу.
- Анализ мокроты. Мокрота имеет слизистый вязкий характер. При микроскопическом исследовании в ней обнаруживаются частицы пыли и иммунные клетки, заполненные пылью.
- Биопсия ткани легкого с гистологическим исследованием. Метод применяется в тех случаях, когда необходимо установить характер пыли. Это инвазивная методика, но она позволяет связать профессиональную деятельность с настоящим заболеванием. Только в том случае, если гистологически доказано, что изменения в легких вызваны именно той пылью, концентрация которой на работе превышает допустимую, правомочен диагноз профессиональный пневмокониоз. При этом больному полагаются денежные выплаты в связи с утратой здоровья на производстве.
Для установления диагноза большое значение имеет не только медицинское обследование, но и оценка профессионального маршрута пациента. Больной должен предоставить врачу-профпатологу копию трудовой книжки и заключение санитарно-эпидемиологической станции с места работы.
Дифференциальный диагноз
Пневмокониоз необходимо дифференцировать со многими заболеваниями, поскольку эта патология не имеет характерных только для нее клинических проявлений.
При диссеминированном туберкулезе также наблюдается множество мелких очагов на рентгенограмме, как и при узелковом пневмокониозе. При этом симптомов может либо не быть, либо болезнь проявляется кашлем и невыраженной одышкой.
Отличие заключается в том, что диссеминированный туберкулез развивается, как правило, у лиц с угнетенным иммунитетом. Часто – у ВИЧ-инфицированных.
При этой форме туберкулеза на рентгеновском снимке видны увеличенные с одной или обеих сторон лимфатические узлы. У пациента может быть субфебрильная температура, которую он не ощущает. Кроме того, диссеминация при туберкулезе начинается с верхушек легких, все очаги долгое время остаются малоинтенсивными.
При пневмокониозе процесс развивается в любых долях и очаги полиморфные. Наличие микобактерий в мокроте подтверждает диагноз туберкулез.
Пневмокониоз развивается длительное время, если на предшествующих снимках есть изменения в легких, а на данный момент виден фиброз – значит пневмокониоз есть. Если при этом видны очаги инфильтрации, характерные для туберкулеза, повышается температура и обнаруживаются микобактерии, то можно ставить диагноз кониотуберкулез.
Также пневмокониоз можно дифференцировать с саркоидозом. Характерной особенностью последнего является увеличение лимфатических узлов в корнях легких, длительное бессимптомной течение, поражение преимущественно нижних и средних отделов легких.
При этом, стоит помнить, что при пневмокониозе лимфатические узлы всегда имеют нормальные размеры. Фиброз же при саркоидозе развивается только на третьей стадии заболевания.
У ВИЧ-инфицированных картина пневмоцистной пневмонии может напоминать пневмокониоз. Однако последний чаще имеет бессимптомное или малосимптомное течение.
При пневмоцистной пневмонии пациента мучает кашель, выраженная одышка вплоть до приступов удушья. У таких больных дыхательная недостаточность может достигать такой степени, что все тело пациента приобретает синюшный оттенок.
Лечение пневмокониоза
При установлении диагноза пневмокониоз, основным методом лечения является прекращение контакта больного с производственной пылью. Пациента решением медицинской комиссии переводят на легкий труд, при этом компенсируя потерю в заработной плате.
При отсутствии осложнений, терапия направлена на повышение общей сопротивляемости организма и на улучшение функции дыхательной системы. Дважды в год в плановом порядке пациент проходит лечение в больнице профессиональных заболеваний или в санатории.
Ему показаны различные виды физиопроцедур, лечебная гимнастика и массажи. Медикаментозной терапии в случае бессимптомного течения можно избежать.
Если пневмокониоз протекает с осложнениями, назначают симптоматическое лечение возникающих состояний. Так, при тяжелом пневмокониозе показано введение глюкокортикостероидов.
В случае развития хронического обструктивного бронхита, кроме того, назначают бронхолитические препараты. Если пациента мучает кашель с вязкой мокротой, показаны муколитики. При развитии сердечной патологии, назначают симптоматическую коррекцию нарушения деятельности сердечной мышцы.
Прогноз и профилактика
Прогноз заболевания зависит от того, какие осложнения успели развиться до его диагностики. В случае неосложненного процесса, прогноз благоприятный.
Профилактика заключается в соблюдении правил техники безопасности на рабочем месте, включая ношение средств индивидуальной защиты дыхательных путей. Кроме того, большое значение имеет прохождение профилактических осмотров ежегодно.
Пневмокониоз: причины, признаки, лечение и прогноз
Пневмокониоз — это обобщенное название хронических патологических процессов в легких, которые развиваются в результате длительного вдыхания производственной пыли, что приводит к фиброзу или развитию соединительной ткани в структуре легких. Пневмокониоз относится к разряду профессиональных заболеваний и чаще всего диагностируется у людей угольной, стекольной, асбестовой, известной промышленности, а также у работников элеваторов и цехов по переработке пшеницы в муку.
Почему развивается пневмокониоз: основные причины
Основными факторами, которые приводят к развитию данного патологического состояния, являются продолжительные контакты, и вдыхание производственной пыли органического и минерального происхождения.
В зависимости от состава пыли выделяется определенная классификация пневмокониозов, о которых нагляднее представлено в таблице:
КлассификацияИз-за чего развивается и что собой представляет? пневмокониозы силикозразвивается в результате длительного воздействия на дыхательные пути пыли с высоким содержанием кремния диоксидапневмокониоз силикатозразвивается в результате вдыхания соединений кремниевой кислоты с металлами (асбеста, талька и прочих)металлокониозразвивается в результате долговременного воздействия металлической пыли на органы дыхания (железа, алюминия, бария, бериллия)карбокониозразвивается на фоне долгосрочного вдыхания пыли с высоким содержанием углерода (графит, сажа, антрацитовая пыль)смешанный пневмокониозвозникает на фоне длительного контакта с различными видами пыли (угольной, металлической, органической, асбестовой и других)пневмокониоз органического происхожденияразвивается на фоне длительного вдыхания пыли органического происхождения (встречается чаще всего у работников цехов по переработки пшеницы в муку, работников по обработке льна, шерсти, сахарного тростника), эта группа пневмокониозов протекает по типу аллергического бронхиолита или астмы
Глубина проникновения пылевых частиц в органы дыхательной системы и интенсивность их приклеивания к тканям зависит от дисперсности (размеров) вдыхаемых частиц. Наиболее опасными и активными являются частицы размеров 1-2 мкм – именно они проникают в дальние участки органов дыхания и оседают на стенках мелких бронхиол.
Более крупные частицы пыли задерживаются на стенках крупных бронхов и успешно удаляются из дыхательных путей посредством кашля и чихания.
Механизм развития заболевания: с чего начинается пневмокониоз?
Высокая степень загрязненности вдыхаемого воздуха в совокупности с недостаточно тщательным очищением бронхов от чужеродных патологических частиц приводит к оседанию пыли на поверхности бронхиол. При длительном воздействии чужеродных частиц на слизистые оболочки дыхательных путей и невозможности их откашлять постепенно развиваются фиброзные изменения легочной ткани, которые могут быть узелковыми, интерстициальными и узловыми.
При узелковом фиброзе в структуре легких образуются мелкие склеротические узлы, которые состоят из пучков соединительной ткани, загрязненных частичками пыли. При множественных узелках возможно их слияние друг с другом, что дает начало формированию крупных узлов, которые занимают большую часть доли легкого, а иногда и всю долю.
Наряду с фиброзными изменениями ткани легкого возникают эмфиземы – мелкоочаговые или буллезные на фоне которых часто развиваются патологические состояния в слизистой оболочке бронхов – бронхит или бронхиолит. По мере прогрессирования и развития пневмокониоза у больного появляются деструктивные и склерозирующие изменения в тканях, однако рентгенологически это выявляется не сразу.
Как проявляется заболевание: первые симптомы
Первые симптомы пневмокониоза могут возникать, как через 2-3 года от начала постоянного контакта с пылью, так и спустя 10-15 лет, в зависимости от течения и скорости прогрессирования патологического процесса.
В большинстве случаев независимо от вида пневмокониоза у больного будут одинаковые клинические симптомы:
- одышка, усиливающаяся при нагрузках;
- кашель с отделением небольшого количества мокроты;
- боли в грудной клетке колющего характера с иррадиацией в междулопаточную область и под лопатку – по мере прогрессирования заболевания боли возникают даже при глубоком вдохе.
Поздние симптомы
Спустя несколько лет от начала развития пневмокониоза у больного нарастает слабость и появляются дополнительные клинические симптомы:
- субфебрильная температура тела;
- повышенная потливость;
- стремительное похудание;
- появление одышки даже в состоянии покоя;
- синюшность губ, мочек ушей и кончиков пальцев, что связано с недостаточным газообменом и ограниченными функциями легких;
- деформация пальцев и ногтевой пластины – «ногти-стеклышки», «пальцы – барабанные палочки»;
- развитие дыхательной недостаточности, легочного сердца, легочной гипертензии.
Кроме этого, большая часть пневмокониозов осложняется хроническим воспалением бронхов с явлениями обструкции, приступами астмы. Такое заболевание, как туберкулез и пневмокониозы также является одним из осложнений силикоза, которое протекает с эрозиями легочных сосудов, бронхолегочными кровотечениями и образованием бронхиальных свищей.
При отсутствии своевременной диагностики и лечения, продолжении воздействия пыли на органы дыхательной системы, у больного возможно развитие следующих осложнений:
- эмфизема легких;
- бронхоэктатическая болезнь;
- спонтанный пневмоторакс;
- склеродермия;
Пневмокониоз

Пневмокониозы – ряд хронических заболеваний легких, возникающих вследствие длительного вдыхания производственной пыли и характеризующихся развитием диффузного фиброза легочной ткани. Течение пневмокониоза сопровождается сухим кашлем, прогрессирующей одышкой, болями в груди, развитием деформирующего бронхита, нарастанием дыхательной недостаточности. При диагностике пневмокониоза учитывается наличие и вид профессиональных вредностей, физикальные данные, результаты спирометрии, рентгенологического обследования, КОС и газового состава крови. Лечение пневмокониоза включает исключение контакта с вредными соединениями, применение бронхолитических и отхаркивающих средств, кортикостероидов, проведение физиопроцедур, кислородных ингаляций, гипербарической оксигенации.
МКБ-10

Общие сведения
К пневмокониозам в пульмонологии относят различные хронические профессиональные болезни легких, возникающие вследствие вдыхания вредной производственной пыли и приводящие к выраженному развитию соединительной ткани – диффузному первичному фиброзу. В структуре профессиональных заболеваний пневмокониозы занимают одно из ведущих мест. Пневмокониозы чаще всего обнаруживаются у рабочих угольной, асбестовой, машиностроительной, стекольной и других видов промышленности, подвергающихся воздействию вредной производственной пыли в течение 5-15 и более лет.

Причины и классификация пневмокониозов
Факторами, определяющими развитие пневмокониоза, являются состав, длительная экспозиция и высокие концентрации вдыхаемой пыли неорганического (минерального) или органического происхождения.
В зависимости от химического состава пыли различают следующие группы профессиональных заболеваний легких:
- силикоз – пневмокониоз, развивающийся при воздействии пыли, содержащей диоксид кремния (SiO2);
- силикатозы – группа пневмокониозов, развивающихся на фоне вдыхания силикатов — соединений кремниевой кислоты с металлами (асбестоз, калиноз, талькоз, нефелиноз и др.);
- металлокониозы – пневмокониозы, обусловленные воздействием металлической пыли (алюминия – алюминоз; бария – бариноз; бериллия – бериллиоз; железа – сидероз и пр.);
- карбокониозы – пневмокониозы, вызываемые вдыханием углеродсодержащей пыли (антракоз, сажевый пневмокониоз, графитоз);
- пневмокониозы, связанные с воздействием смешанной пыли (сидеросиликоз, антракосиликоз, пневмокониоз газорезчиков и электросварщиков);
- пневмокониозы, развивающиеся при длительном вдыхании пыли органического происхождения (льна, хлопка, шерсти, сахарного тростника и т. д.). Данная группа пневмокониозов по течению чаще напоминает аллергический альвеолит или бронхиальную астму; при этом развитие диффузного пневмофиброза отмечается не во всех случаях. Поэтому заболевания, вызванные воздействием органической пыли, лишь условно относят к группе пневмокониозов.
Глубина проникновения пыли в воздухоносные пути и интенсивность ее элиминации зависят от величины (дисперсности) аэрозольных частиц. Наиболее активной фракцией являются высокодисперсные частицы с размером 1-2 мкм. Они проникают глубоко и преимущественно оседают на стенках терминальных бронхиол, респираторных ходов и альвеол. Частицы более крупного размера задерживаются и удаляются мукоцилиарным аппаратом бронхов; более мелкие фракции элиминируются с выдыхаемым воздухом или по лимфатическим путям.
Патогенез пневмокониозов
Высокая загрязненность вдыхаемого воздуха в совокупности с недостаточной эффективностью мукоцилиарного клиренса обуславливает проникновение и оседание аэрозольных частиц в альвеолах. Оттуда они могут самостоятельно проникать в интерстициальную ткань легких либо поглощаться альвеолярными макрофагами. Поглощенные частицы зачастую обладают цитотоксическим действием на макрофаги, вызывая процесс перекисного окисления липидов. Высвобождающиеся при этом лизохондриальные и лизосомальные ферменты стимулируют пролиферацию фибробластов и формирование в легочной ткани коллагена. В патогенезе пневмокониозов доказано участие иммунопатологических механизмов.
Фиброзные изменения в легочной ткани при пневмокониозах могут носить узелковый, интерстициальный и узловой характер. Узелковый фиброз характеризуется появлением мелких склеротических узелков, состоящих из нагруженных пылью макрофагов и пучков соединительной ткани. При отсутствии фиброзных узелков или их небольшом количестве диагностируется интерстициальная форма пневмокониоза, которая сопровождается утолщением альвеолярных перегородок, периваскулярным и перибронхиальным фиброзом. Слияние отдельных узелков может давать начало крупным узлам, занимающим значительную часть ткани легкого, вплоть до целой доли.
Фиброзному процессу в легких сопутствует мелкоочаговая или распространенная эмфизема, подчас приобретающая буллезный характер. Параллельно с изменениями в легочной ткани при пневмокониозах развиваются патологические процессы в слизистой оболочке бронхов по типу эндобронхита и бронхиолита.
В своем развитии пневмокониозы проходят период воспалительно-дистрофических и продуктивно-склеротических изменений. Большинство пневмокониозов, как правило, рентгенологически выявляются только во втором периоде.
Симптомы пневмокониозов
Течение пневмокониоза может быть медленно прогрессирующим, быстро прогрессирующим, поздним, регрессирующим. Медленно прогрессирующая форма пневмокониоза развивается спустя 10-15 лет от начала контакта с производственной пылью. Проявления быстро прогрессирующей формы манифестируют через 3-5 лет после начала контакта с пылью и нарастают в течение 2-3 ближайших лет. При позднем пневмокониозе симптомы обычно появляются лишь через несколько лет после прекращения контакта с пылевым агентом. О регрессирующей форме пневмокониоза говорят в том случае, если частицы пыли частично выводятся из дыхательных путей после прекращения воздействия вредного фактора, что сопровождается регрессом рентгенологических изменений в легких.
Различные виды пневмокониозов имеют сходную клиническую симптоматику. В начальных стадиях предъявляются жалобы на одышку, кашель со скудным количеством мокроты, колющие боли в грудной клетке, подлопаточной и межлопаточной области. Первоначально боли носят нерегулярный характер, усиливаясь при кашле и глубоком вдохе; позднее боли становятся постоянными, давящими.
Прогрессирование пневмокониоза сопровождается нарастанием слабости, субфебрилитета, потливости; снижением массы тела, появлением одышки в покое, цианозом губ, деформацией концевых фаланг пальцев рук и ногтей («барабанные палочки» и «часовые стекла»). При осложнениях или далеко зашедшем процессе появляются признаки дыхательной недостаточности, развивается легочная гипертензия и легочное сердце.
Значительная часть пневмокониозов (антракоз, асбестоз и др.) осложняется хроническим бронхитом (необструктивным, обструктивным, астматическим). К течению силикоза нередко присоединяется туберкулез; возможно развитие силикотуберкулеза, который отягощается эрозией легочных сосудов, легочным кровотечением и формированием бронхиальных свищей.
Частыми осложнениями пневмокониозов являются бронхоэктазы, бронхиальная астма, эмфизема легких, спонтанный пневмоторакс, ревматоидный артрит, склеродермия и другие коллагенозы. При силикозе и асбестозе возможно развитие альвеолярного или бронхогенного рака легких, мезотелиомы плевры.
Диагностика пневмокониозов
При распознавании пневмокониозов крайне важен учет профессионального маршрута пациента и наличие контактов с производственной пылью. При массовых обследованиях групп профессионального риска роль первичной диагностики пневмокониозов выполняет крупнокадровая флюорография. При этом выявляется характерное усиление и деформация легочного рисунка, наличие мелкоочаговых теней.
Углубленное обследование (рентгенография легких, компьютерная томография, МРТ легких) позволяет уточнить характер пневмокониоза (интерстициальный, узелковый и узловой) и стадию изменений. При прогрессировании пневмокониоза увеличивается площадь поражения, размеры и количество теней, выявляются участки массивного фиброза, компенсаторная эмфизема, утолщение и деформация плевры и т. д. Оценка кровотока и вентиляции в различных участках легочной ткани проводится с помощью зональной реопульмонографии и сцинтиграфии легких.
Комплекс исследований функции внешнего дыхания (спирометрия, пикфлоуметрия, плетизмография, пневмотахография, газоаналитическое исследование) позволяет разграничить рестриктивные и обструктивные нарушения. Микроскопическое исследование мокроты при пневмокониозе обнаруживает ее слизистый или слизисто-гнойный характер, примеси пыли и макрофагов, нагруженных частичками пыли. В трудных для диагностики случаях прибегают к проведению бронхоскопии с трансбронхиальной биопсией легочной ткани, пункции лимфоузлов корня легкого.
Лечение пневмокониозов
При выявлении любой формы пневмокониоза требуется прекращение контакта с вредным этиологическим фактором. Целью лечения пневмокониоза является замедление или предотвращение прогрессирования заболевания, коррекция симптомов и сопутствующей патологии, предупреждение осложнений.
Важное значение при пневмокониозе придается питанию, которое должно быть богатым витаминами и белками. Для повышения неспецифической реактивности организма целесообразен прием различных адаптогенов (настойки элеутерококка, китайского лимонника). Широко используются оздоровительные и закаливающие процедуры: ЛФК, массаж, лечебные души (душ Шарко, циркулярный душ). При неосложненных формах пневмокониоза назначается ультразвук или электрофорез с кальцием и новокаином на область грудной клетки, ингаляции протеолитических ферментов и бронхолитиков, оксигенотерапия (ингаляции кислорода, гипербарическая оксигенация). Горнорабочим показано проведение общего ультрафиолетового облучения, повышающего и устойчивость организма к бронхолегочным заболеваниям. Лечебно-профилактические курсы при пневмокониозе рекомендуется проводить два раза в год в условиях стационара или санатория-профилактория.
Пациентам с осложненным течением пневмокониоза с противовоспалительной и антипролиферативной целью требуется назначение глюкокортикоидов в течение 1-2 месяцев под туберкулостатической защитой. При развитии сердечно-легочной недостаточности показано применение бронхолитиков, сердечных гликозидов, диуретиков, антикоагулянтов.
Прогноз и профилактика пневмокониозов
Прогноз пневмокониоза определяется его формой, стадией и осложнениями. Наиболее неблагоприятно течение силикоза, бериллиоза, асбестоза, поскольку они могут прогрессировать даже после прекращения контакта с вредной пылью.
В основе профилактики пневмокониозов лежит комплекс мер по улучшению условий труда, соблюдению требований безопасности производства, совершенствованию технологических процессов. Для предупреждения пневмокониозов необходимо использование индивидуальных (противопылевых респираторов, защитных очков, противопылевой одежды) и коллективных средств защиты (местной приточно-вытяжной вентиляции, проветривания и увлажнения производственных помещений).
Лица, контактирующие с вредными производственными факторами, подлежат предварительным и периодическим медицинским осмотрам в установленном порядке. Устройство на работу, связанную с контактом с производственной пылью, противопоказано лицам с аллергическими заболеваниями, хроническими заболеваниями бронхолегочной системы, искривлением носовой перегородки, хроническими дерматозами, врожденными аномалиями сердца и органов дыхания.
Пневмокониоз
Под термином «пневмокониозы» понимают хронические профессиональные болезни легких. Возникают все они от длительного вдыхания пыли и характеризуются развитием стойкой соединительнотканной реакции легочной ткани, т.е. прогрессированием диффузного интерстициального фиброза.

Вредное воздействие пыли на человеческий организм было замечено еще в древности. Уже тогда отметили, что работа в течение длительного периода времени в условиях сильного запыления неминуемо ведет к заболеваниям, сопровождающихся кашлем с мокротой, которые нередко заканчивались смертью («чахотка углекопов», «черная чахотка»). Об этом в свое время писали Гиппократ, Рамаццини, Парацельс.
Самой распространенной причиной прогрессирования пневмокониоза даже после прекращения пылевой экспозиции является осложнение туберкулезом. По частоте присоединения специфической инфекции центральное место занимает силикоз. Качественно новая нозология, которая имеет черты и туберкулеза, и силикоза – силикотуберкулез.
Виды пневмокониоза
- Силикоз – пневмокониоз, вызванный пылью, содержащей SiO2 – свободную двуокись кремния – в виде мелкодисперсного аэрозоля. Этот вид заболевания диагностируют у рабочих металлообрабатывающей и горной промышленностей (проходчиков, забойщиков и т.д.). На вероятность развития силикоза влияет как количество пыли, осевшей в легких, так и ее размер, поверхностные характеристики и кристаллическая структура. Легочная ткань реагирует на эту пыль развитием интерстициального фиброза. Прогрессирование болезни ведет к образованию и постепенному увеличению силикотических узелков до1,5 см и более.
- В отдельную группу выделены заболевания, связанные с накоплением пыли, содержащей небольшое количество SiO2: пневмокониоз нефелиновый, слюдяной, цементный, а также каолиноз и некоторые другие.
- Антракозом называют пневмокониоз угольщиков. Это заболевание провоцирует накопившаяся в легких угольная пыль. Легкие становятся серого (местами черного) цвета. Отложение пыли обнаруживают также в селезенке, печени, лимфатических узлах средостения.
- Асбестоз – пневмокониоз, вызванный накоплением в легких асбестовых волокон, морфологически проявляющийся интерстициальным фиброзом и фиброзирующим альвеолитом.
- Талькоз – пневмокониоз, связанный с накоплением тальковой пыли, при котором в лимфатических узлах средостения и паренхиме легких развивается соединительная ткань.
В отдельную большую группу выделяют пневмокониозы, вызванные другой неорганической пылью (не кремниевой): берилиоз, алюминоз, станноз, графитный фиброз и другие. Клинические проявления и гистологическая картина зависят от воздействующего фактора.
Симптомы и диагностика пневмокониоза
Пневмокониоз развивается постепенно, как правило, при длительной работе в условиях воздействия пыли.
На начальной стадии клиническая картина скудная: редкий сухой кашель, боль в груди, одышка при физических нагрузках. При этом проведенное обследование довольно часто вообще не выявляет какую-либо патологию. Но на первых стадиях можно выявить ранние симптомы эмфиземы (заболевания дыхательных путей), развивающейся в нижнебоковых отделах грудной клетки, уменьшение подвижности легочных краев, коробочный оттенок перкуторного звука, ослабление дыхания.
Как только к этим симптомам присоединяются изменения в бронхах у человека появляется жесткое дыхание, иногда с сухими хрипами.
Выраженным формам пневмокониоза сопутствует постоянная одышка даже в состоянии покоя, усиливается боль в грудной клетке, кашель носит постоянный характер и сопровождается выделением мокроты, появляется чувство давления в груди.
Основным диагностическим методом определения пневмокониоза является рентгенологическое исследование.
Лечение пневмокониоза
Лечение пневмокониозов в основном направлено на устранение симптомов, которые преобладают в данный период болезни.
Комплекс лечебных мероприятий:
- санация (ликвидация) очагов инфекции в верхних дыхательных путях;
- отхаркивающие препараты при кашле (Экстракт корня солодки, Бромгексин и т.п.);
- сульфаниламиды и антибиотики при нагноении;
- ингаляции кислородом;
- полноценное усиленное питание с большим содержанием витаминов РР, D, С и В;
- адаптогены – препараты, повышающие неспецифическую сопротивляемость организма к вредным воздействиям химической, физический и биологической природы;
- общеукрепляющие мероприятия, направленные на закаливание;
- неспецифическая терапия: блокаторы кальциевых каналов, бронходилататоры;
- лечение в санаториях легочного профиля: кислородные коктейли, оксигенация крови и т.п.
- воздействие ультрафиолетовыми лучами в подземных условиях;
- глюкокортикоиды (чаще всего это Преднидозол) – при быстро прогрессирующем течении пневмокониоза.
Лечение пневмокониоза у больных с выраженной легочной недостаточностью проводят в условиях стационара.
При явно выраженном пневмокониозе человек в обязательном порядке должен быть переведен на работу без профессиональных вредностей.

Профилактика пневмокониоза
Основа профилактики пневмокониозов – мероприятия, направленные на снижение запыленности на производстве. Каждый рабочий должен применять эффективные индивидуальные средства защиты органов дыхания.
Рабочий день на подобных предприятиях должен быть сокращенным, а отпуск – максимально длительным. Всем работникам предоставляется право на санаторно-курортное лечение.
Обязательны периодические медицинские осмотры (включающие флюорографию) уже работающих сотрудников и предварительные осмотры соискателей. При подозрении на заболевание требуется динамическое наблюдение за человеком.
В профилактике пневмокониозов большое значение имеют:
- полноценное питание, богатое витаминами и белками;
- отказ от курения;
- занятия лечебной физкультурой, в частности дыхательной гимнастикой;
- прием адаптогенов (пантокрин, настойка женьшеня), способствующих общей стимуляции организма и повышающих неспецифическую реакцию организма;
- прием витаминов;
- водные процедуры;
- активные виды спорта;
- качественный отдых.
Улучшить состояние легких и бронхов поможет их периодическое ингалирование соляно-щелочными растворами.
